英文名称:Anti-Bcr
中文名称:Bcr抗体
抗体来源:兔子
克隆类型:多克隆
交叉反应:人、小鼠、大鼠、鸡、狗、牛、马、兔子
产品应用:ELISA=1:500-1000 IHC-P=1:100-500 IHC-F=1:100-500 IF=1:100-500(石蜡切片需做抗原修复)
分 子 量:143kDa
细胞定位:细胞浆
状态:冻干或液体
浓度:1mg/ml
来源于:KLH conjugated synthetic peptide derived from human Bcr:1201-1271/1271
亚型:IgG
纯化方法:affinity purified by Protein A
储存液:0.01M TBS(pH7.4) with 1% BSA, 0.03% Proclin300 and 50% Glycerol.
别 名:ALL; BCR 1; BCR/ABL FUSION GENE INCLUDED; BCR/FGFR1 FUSION GENE INCLUDED; BCR/PDGFRA FUSION GENE INCLUDED; BCR1; breakpoint cluster region; CML; PHL; BCR_HUMAN.
保存条件:在-20°C下保存一年。避免反复冻融。冻干抗体在室温下至少稳定一个月,并在-20°C下保持一年以上。当在无菌pH7.4 0.01M PBS或抗体稀释剂中重组时,抗体在2-4°C下至少稳定两周。
产品介绍:
断点簇区域蛋白(BCR)与融合伙伴ABL(CBR-ABL)基因易位有关,导致慢性粒细胞白血病(CML)。这种160kDa蛋白质包含一个丝氨酸/苏氨酸激酶域、一个SH2结合域、一个GTP/GDP交换域和一个C-端域,其作为p21rac和cdc42的GTPase激活蛋白发挥作用。此外,BCR参与信号转导,并能下调ras介导的细胞信号。
功能:
rac1和cdc42的GTPase激活蛋白。通过gtp促进受rac或cdc42约束的gdp的交换,从而激活它们。显示丝氨酸/苏氨酸激酶活性。
子单元:
均四聚体。与pdzk1交互。可能与CCPG1交互。与FES/FPS、ABL1、PIK3R1和GRB2相互作用。与HCK相互作用。
亚细胞位置:
细胞质。
翻译后修改:
自磷酸化。在酪氨酸残基上被fes/fps磷酸化,导致bcr激酶活性下调。HCK在Tyr-177处的磷酸化对与Grb2的相互作用很重要。
疾病:
注=涉及BCR的染色体畸变是慢性髓性白血病的原因。易位t(9;22)(q34;q11)与abl1。易位产生BCR-ABL,也见于急性髓细胞白血病(AML)和急性淋巴细胞白血病(ALL)。
相似性:
包含1个C2域。
包含1个dh(dbl同源)域。
包含1个ph域。
包含1个rho-gap域。
重要提示:
本产品仅用于研究用途,不用于人类、治疗或诊断应用
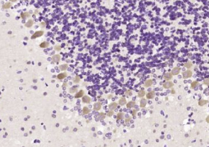
多聚甲醛固定,石蜡包埋(大鼠小脑);经柠檬酸钠缓冲液(pH6.0)煮沸15min后获得抗原;用3%过氧化氢阻断内源过氧化物酶20分钟;阻断缓冲液(正常山羊血清)37℃30min;用BCR多克隆抗体孵育未结合抗体在1:200下在4°C下过夜,然后根据SP试剂盒(兔子)说明和DAB染色进行操作。
公司优势:
1)质量:我司提供的的试剂为世界。
2)价格:价格实惠,量大从优。
4)服务:提供完整的售前、售后和售中服务。售后到底。
如需订购Bcr抗体,请联系我们。
Anti-Dynamin 2(Anti-Human Dynamin-2 ) 兔抗人鸟苷三磷酸酶-发动蛋白2抗体 |
Anti-Dysbindin/rhogap92b 精神分裂症易感基因抗体 |
Anti-E2F1 转录因子E2F-1抗体 |
Anti-E2F2 转录因子E2F-2抗体 |
Anti-E7 protein (Human papillomavirus type 16) 人乳头瘤病毒16型E7抗体 |
Anti-EAAT1/Glast(Excitatory amino acid transporters 1) 胶质细胞谷氨酸运载蛋白1 抗体 |