英文名称:Anti-APAF1(NT)
中文名称:APAF1(NT)凋亡蛋白活性因子-1抗体(N端)
抗体来源:兔子
克隆类型:多克隆
交叉反应:人,小鼠,大鼠、鸡、狗、牛、马
产品应用:ELISA=1:500-1000 IHC-P=1:400-800 IHC-F=1:400-800 Flow-Cyt=0.2ug/test IF=1:100-500(石蜡切片需做抗原修复)
尚未在其他应用程序中测试。
用户终应确定合适稀释浓度。
分子量:137kDa
细胞定位:细胞浆
状态:冻干或液体
浓度:1mg/ml
来源于:KLH conjugated synthetic peptide derived from human Apaf-1:13-80/1248
亚型:IgG
纯化方法:affinity purified by Protein A
储存液:0.01M TBS(pH7.4) with 1% BSA, 0.03% Proclin300 and 50% Glycerol.
别 名:APAF 1; APAF1; APAF-1; Apoptotic peptidase activating factor 1; Apoptotic protease activating factor; CED 4; CED4; KIAA0413; APAF_HUMAN; Apoptotic protease-activating factor 1.
保存条件:在-20°C下保存一年。避免重复冻融循环。冻干抗体在室温下至少稳定一个月,并在-20°C下保持一年以上。当在无菌pH7.4 0.01M PBS或抗体稀释剂中重组时,抗体在2-4°C下至少稳定两周。
产品介绍
这个基因编码一种启动细胞凋亡的细胞质蛋白。这种蛋白包含几个WD-40结构域、一个半胱天冬酶募集结构域(CARD)和一个ATP酶结构域(NB-ARC)的拷贝。结合细胞色素c和datp后,该蛋白形成寡聚体凋亡体。凋亡体结合并分裂半胱天冬酶9前蛋白,释放其成熟的活性形式。激活的半胱天冬酶9刺激随后的半胱天冬酶级联,使细胞凋亡。选择性剪接导致几种转录变体编码不同的亚型。[由RefSeq提供,2008年7月]。
功能:
寡聚体APAF-1介导细胞色素c依赖的半胱天冬酶-9(APAF-3)的自催化激活,导致半胱天冬酶-3的激活和凋亡。此激活需要ATP。亚型6诱导细胞凋亡的效果较差。
Subunit:
单体。细胞色素c和datp结合后寡聚。寡聚体apaf-1和pro-caspase-9通过各自的NH2终端卡域相互结合,从复合体中释放出连续成熟的caspase-9。前半胱天冬酶-3通过与前半胱天冬酶-9的相互作用被招募到apaf-1-pro-caspase-9复合体中。与APIP交互。(通过卡和nacht域)与naip/birc1(通过nacht域)交互。
亚细胞位置:
细胞质。
组织特异性:
无处不在的。在成人脾脏和外周血白细胞以及胎儿脑、肾和肺中的高表达水平。亚型1在心脏、肾脏和肝脏中表达。
相似性:
包含1个卡域。
包含1个NB-ARC域。
包含13个WD重复。
重要注意事项:
Apaf-1 (Apoptosis protease activating factor-1)调节细胞色素C依赖的Caspase-9原的自动催化活性,导致Caspase-3 的激活和引起凋亡。
Apaf-1在成年人的脾脏、外周血白细胞、肾脏、肺和胎儿脑、肾、肺中高水平表达。
本产品仅用于研究用途,不用于人类、治疗或诊断应用。
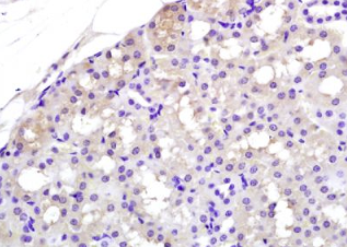
组织/细胞:大鼠肾组织;4%多聚甲醛固定石蜡包埋;
抗原提取:柠檬酸缓冲液(0.01M,pH 6),15min煮沸,用3%过氧化氢阻断内源性过氧化物酶30min;37℃下阻断缓冲液(正常山羊血清)20 min;
孵育:抗APAF1(NT)多克隆抗体,未结合1:200,在4°C下过夜,然后与二级抗体结合,DAB染色。
公司优势:
1)质量:我司提供的的试剂为世界。
2)价格:价格实惠,量大从优。
4)服务:提供完整的售前、售后和售中服务。售后到底。
如需订购APAF1(NT)凋亡蛋白活性因子-1抗体(N端),请联系我们。
Anti-PCNA(Proliferation Cell Nuclear Antigen) 增殖细胞核抗原抗体 |
anti-PDE4D(phosphodiesterase 4D) 磷酸二酯酶4D抗体 |
Anti-PDGF-A 血小板源性生长因子-A抗体 |
Anti-PDGF-B 血小板源性生长因子-B抗体 |
Anti-PDGF-BB((platelet derived growth factor-BB) 血小板源性生长因子-BB抗体 |