您的位置: 网站首页 >> 产品中心 >> >> 抗体 > 脑源神经营养因子抗体(BDNF)
产品名称:

脑源神经营养因子抗体(BDNF)

产品型号: 产品时间: 2023-03-08
神经营养素在发育过程中调节神经元自然发生的细胞死亡。神经营养素的原型是神经生长因子(NGF),初发现于20世纪50年代,脑源神经营养因子抗体(BDNF)是一种促进交感神经节存活和神经突生长的可溶性肽。近,又发现了三种结构上同源的神经营养因子。这些包括脑源性神经营养因子(bdnf),神经营养因子-3(nt-3)和神经营养因子-4(nt-4),也被称为nt-5。

产品概述

英文名称:Anti-BDNF​

中文名称:脑源神经营养因子抗体(BDNF)

抗体来源:兔子

克隆类型:多克隆

交叉反应:人、小鼠、大鼠、狗、猪、牛、马、兔、豚鼠​

产品应用:WB=1:500-2000 ELISA=1:500-1000 IHC-P=1:100-500 IHC-F=1:100-500 Flow-Cyt=1μg/Test ICC=1:100-500 IF=1:200-800(石蜡切片需做抗原修复)

分  子 量:13/27kDa

​细胞定位:分泌型蛋白

状态:冻干或液体

浓度:1mg/ml

来源于:KLH conjugated synthetic peptide derived from human BDNF:151-247/247

亚型:IgG

纯化方法:affinity purified by Protein A

储存液:0.01M TBS(pH7.4) with 1% BSA, 0.03% Proclin300 and 50% Glycerol.

别    名:Abrineurin; BDNF; BDNF; BDNF_HUMAN; Brain Derived Neurotrophic Factor; Brain-derived neurotrophic factor; MGC34632; MGC34632; Neurotrophin.

保存条件:在-20°C下保存一年。避免反复冻融。冻干抗体在室温下至少稳定一个月,并在-20°C下保持一年以上。当在无菌pH7.4 0.01M PBS或抗体稀释剂中重组时,抗体在2-4°C下至少稳定两周。

 

​产品介绍:

神经营养素在发育过程中调节神经元自然发生的细胞死亡。神经营养素的原型是神经生长因子(NGF),初发现于20世纪50年代,是一种促进交感神经节存活和神经突生长的可溶性肽。近,又发现了三种结构上同源的神经营养因子。这些包括脑源性神经营养因子(bdnf),神经营养因子-3(nt-3)和神经营养因子-4(nt-4),也被称为nt-5。这些不同的神经营养素刺激不同但部分重叠的神经元群的体外存活。TRK A受体是NGF的优先受体,但也与NT-3和NT-4结合。TRK B受体与bdnf和nt-4以及较小程度的nt-3结合良好,而TRK C受体仅与nt-3结合。bdnf促进所有位于中枢神经系统或直接与中枢神经系统相连的神经元群的存活。属于NGF贝塔家族。

 

功能:

在发育过程中,促进周围神经系统和中枢神经系统中选定神经元种群的存活和分化。参与轴突生长、寻路及树突生长和形态的调控。中枢神经系统许多区域成年突触的突触传递和可塑性的主要调节器。BDNF对一系列适应性神经元反应的贡献,包括长期增强(LTP)、长期抑郁(LTD)、某些形式的短期突触可塑性以及内在神经元兴奋性的稳态调节,强调了其多功能性。

 

子单元:

单体和同二聚体。绑定到ntrk2/trkb。

 

亚细胞位置:

秘密的。

 

组织特异性:

大脑。高表达于海马、杏仁核、大脑皮层和小脑。也表达于心脏、肺、骨骼肌、睾丸、前列腺和胎盘。

 

翻译后修改:

丙肽为N-糖基化和糖化。

 

疾病:

bdnf缺陷是先天性中枢通气不足综合征(CChs)的一个原因[mim:209880];也被称为自主神经控制的先天性失败。CCHS是一种罕见的疾病,其特征是在没有神经肌肉或肺部疾病或可识别的脑干病变的情况下呼吸控制异常。自主呼吸控制不足导致对高碳酸血症和低氧血症的通气和唤醒反应不足或可忽略不计。CCHS常伴有神经性晶体病变,如先天性巨结肠症,约16%的CCHS病例发生这种疾病。

 

相似性:

属于NGF贝塔家族。

 

重要提示:

本产品仅用于研究用途,不用于人类、治疗或诊断应用

​​​​​​​

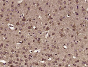
多聚甲醛固定,石蜡包埋(小鼠脑);用柠檬酸钠缓冲液(pH6.0)煮沸15min后获得抗原;用3%过氧化氢阻断内源过氧化物酶20分钟;阻断缓冲液(正常山羊血清)37℃30min;用BDNF多克隆抗体进行抗体孵育泰博迪,未结合在1:400在4°C下过夜,然后根据SP试剂盒(兔子)说明和DAB染色进行操作。

 

公司优势:
1)质量:我司提供的的试剂为世界。
2)价格:价格实惠,量大从优。
4)服务:提供完整的售前、售后和售中服务。售后到底。

如需订购脑源神经营养因子抗体(BDNF)​​​​​​​​​​​​,请联系我们。

Anti-CDK5(Cyclin Dependent Kinase 5)  周期素依赖性激酶5抗体
Anti-CDK6 (Cyclin Dependent Kinase 6)  周期素依赖性激酶6抗体
Anti-CDK7(Cyclin Dependent Kinase 7)  周期素依赖性激酶7抗体
Anti-CDK8(Cyclin Dependent Kinase 8)  周期素依赖性激酶8抗体

留言框

  • 产品:

  • 您的单位:

  • 您的姓名:

  • 联系电话:

  • 常用邮箱:

  • 省份:

  • 详细地址:

  • 补充说明:

  • 验证码:

    请输入计算结果(填写阿拉伯数字),如:三加四=7
分享到:
版权所有©2019 上海晅科生物科技有限公司 备案号:京ICP证000000号
  • 扫一扫,关注我们