您的位置: 网站首页 >> 产品中心 >> >> 抗体 > ADRA2肾上腺素能受体2抗体
产品名称:

ADRA2肾上腺素能受体2抗体

产品型号: 产品时间: 2023-03-08
α-2-肾上腺素能受体是G蛋白偶联受体超家族的成员。包括3种高度同源的亚型:α2a、α2b和α2c。这些受体在调节交感神经和中枢神经系统肾上腺素能神经元的神经递质释放中起着关键作用。对小鼠的研究表明,α2a和α2c亚型都是正常突触前控制心脏交感神经和中枢去甲肾上腺素能神经元的递质释放所必需的;α2a亚型在高刺激频率下抑制递质释放,而α2c亚型调节神经递质。在较低神经ADRA2肾上腺素能受体2抗体。

产品概述

英文名称:Anti-ADRA2​

中文名称:ADRA2肾上腺素能受体2抗体

抗体来源:兔子

克隆类型:多克隆

交叉反应:人、小鼠、大鼠、猪、牛、兔​​

产品应用:WB=1:500-2000 ELISA=1:500-1000 IHC-P=1:400-800 IHC-F=1:400-800 IF=1:100-500(石蜡切片需做抗原修复)

尚未在其他应用程序中测试。

用户终应确定合适稀释浓度。

分子量:50kDa

细胞定位:细胞膜

状态:冻干或液体

浓度:1mg/ml

来源于:KLH conjugated synthetic peptide derived from human ADRA2:385-450/450 <Cytoplasmic>

亚型:IgG

纯化方法:affinity purified by Protein A

储存液:0.01M TBS(pH7.4) with 1% BSA, 0.03% Proclin300 and 50% Glycerol.

​别    名:alpha-2A adrenergic receptor; alpha 2a Adrenergic Receptor; ADRA2A; ADRA2; ADRA2R; ADRAR; ALPHA2AAR; ZNF32; RATRG20; RG20; Adrenergic alpha 2A receptor; Alpha 2AAR subtype C10; OTTHUMP00000058849; ADA2A_HUMAN; Alpha-2A adrenergic receptor; Alpha-2 adrenergic receptor subtype C10; Alpha-2A adrenoreceptor; Alpha-2A adrenoceptor; Alpha-2AAR.

保存条件:在-20°C下保存一年。避免重复冻融循环。冻干抗体在室温下至少稳定一个月,并在-20°C下保持一年以上。当在无菌pH7.4 0.01M PBS或抗体稀释剂中重组时,抗体在2-4°C下至少稳定两周。

产品介绍

α-2-肾上腺素能受体是G蛋白偶联受体超家族的成员。包括3种高度同源的亚型:α2a、α2b和α2c。这些受体在调节交感神经和中枢神经系统肾上腺素能神经元的神经递质释放中起着关键作用。对小鼠的研究表明,α2a和α2c亚型都是正常突触前控制心脏交感神经和中枢去甲肾上腺素能神经元的递质释放所必需的;α2a亚型在高刺激频率下抑制递质释放,而α2c亚型调节神经递质。在较低神经活动水平执行任务。该基因编码α2A亚型,其编码或未翻译序列中不含内含子。[由RefSeq提供]。

 

功能:

α-2肾上腺素能受体通过G蛋白的作用介导儿茶酚胺诱导的腺苷酸环化酶抑制。该受体激动剂的药效等级顺序为:氧异恶唑啉>可乐定>肾上腺素>去甲肾上腺素>苯肾上腺素>多巴胺>对肾上腺素>对酪胺>血清素=对辛多巴胺。拮抗剂的排列顺序为育亨宾>酚妥拉明=棉氨酸>氯丙嗪=司吡酮=哌唑嗪>丙泊酚>阿普雷诺尔=平多洛。

 

亚细胞位置:

细胞膜。

 

相似性:

属于G蛋白偶联受体1家族。肾上腺素能受体亚家族。

ADRA2A亚家族。

 

重要注意事项:

整合素样金属蛋白酶与凝血酶1型-7用于动脉粥样硬化导致早期血管基质修复作用的研究

本产品仅用于研究用途,不用于人类、治疗或诊断应用。

​​​​​

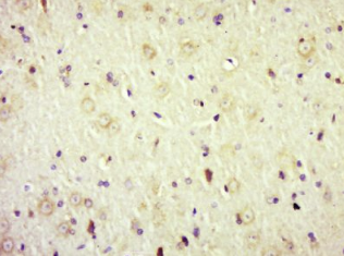
多聚甲醛固定,石蜡包埋(大鼠脑);经柠檬酸钠缓冲液(pH6.0)煮沸15min后获得抗原;用3%过氧化氢阻断内源过氧化物酶20分钟;阻断缓冲液(正常山羊血清)37℃30min;抗体(AdRa2)多克隆抗体(BS-1062R)在1:500过夜孵育。在4°C温度下,然后用共轭二次(SP-0023)进行20分钟的DAB染色。

公司优势:
1)质量:我司提供的的试剂为世界。
2)价格:价格实惠,量大从优。
4)服务:提供完整的售前、售后和售中服务。售后到底。

如需订购ADRA2肾上腺素能受体2抗体​​,请联系我们。

Anti-PACAP-27/38  腺苷酸环化酶激活肽-27/38抗体
Anti-PACAP-38  腺苷酸环化酶激活肽-38抗体
Anti-PADI4/PAD4(Protein-arginine deiminase type IV) Anti-PADI4/PAD4(Protein-arginine deiminase type IV)  关节炎相关基因抗体
Anti-PAF (platelet-activating factor)  血小板活化因子抗体
anti-PALB2(partner and locaizer of BYTA2)  乳腺癌易感基因相关蛋白2

留言框

  • 产品:

  • 您的单位:

  • 您的姓名:

  • 联系电话:

  • 常用邮箱:

  • 省份:

  • 详细地址:

  • 补充说明:

  • 验证码:

    请输入计算结果(填写阿拉伯数字),如:三加四=7
分享到:
版权所有©2019 上海晅科生物科技有限公司 备案号:京ICP证000000号
  • 扫一扫,关注我们