产品名称:HDF-f;人胎儿真皮成纤维母细胞
ScienCell:2300
5×10^5个细胞/瓶
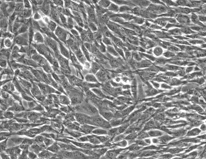
来自ScienCell研究实验室的HDF-f与胎儿人体皮肤分离。HDF-f在P0冷冻保存并冷冻递送。每个小瓶含有>5×10^5个细胞,1ml体积。HDF-f的特征在于其纺锤体形态和具有纤连蛋白特异性抗体的免疫荧光。HDF-f对HIV-1,HBV,HCV,支原体,细菌,酵母和真菌均为阴性。在ScienCell研究实验室提供的条件下,HDF-f可以保证进一步扩大15次群体倍增。
该产品仅供研究使用。它未被批准用于人类,动物或体外诊断程序。
经检测无支原体、细菌、酵母和真菌污染
成纤维细胞是源自胚胎中胚层的间充质细胞。它们已被广泛用于广泛的细胞和分子研究,因为它们是培养中容易生长的细胞类型之一。它们的耐久性也使它们适合各种操作,从使用基因转染的研究到显微注射。通常,成纤维细胞分泌富含I型和/或III型胶原的非刚性细胞外基质[1]。有证据表明,各种器官中的成纤维细胞本质上是不同的[2]。在伤口愈合期间,真皮成纤维细胞从增殖性迁移期转变为收缩性基质重塑期。此外,它们分泌大量的透明质酸以应对炎症刺激[3]。
胰腺腺泡癌细胞 |
白血病细胞 |
β胰岛素瘤 |
淋巴白血病细胞 |
乳腺癌细胞 |
晅科生物为研究界提供各种高质量的正常人和动物细胞,细胞培养基和试剂,基因分析工具,细胞衍生的分子生物学产品,基于细胞的检测试剂盒和干细胞产品。
客户在细胞培养过程中,有任何技术问题可以联系售后服务
客户应具有一定细胞培养知识与经验,并具备基本实验设备,如细胞培养实验室、无菌操作台、CO2培养箱,倒置显微镜等;还应准备好相应的无菌培养基、血清、双抗、细胞培养瓶、培养板等。
参考:
[1] (1977)来自胚胎小鸡的角膜,心脏和皮肤的成纤维细胞样细胞之间的体外差异。J. Cell Sci。26:119-137。
[2] 成纤维细胞。在组织修复和再生(LE Glynn,ed。),第1-50页。炎症手册,卷。3.Amsterdam,Elsevier,1981。
[3] Stern R(2002)Mystixin peptide减少透明质酸沉积和水肿形成。Eur J Pharmacol 30; 450(3):291-6。
我应该多久更换一次细胞上的细胞培养基?
有关具体说明,请参阅产品说明书以了解您正在使用的电池类型。通常,培养基应每2-3天更换一次,具体取决于细胞的汇合程度。注意:解冻并接种冷冻保存的细胞后,应在约16小时后进行*次培养基更换,以除去DMSO残留细胞和死细胞
晅科生物致力于为国内科研用户提供*质的产品,完善的服务。帮助您实验顺利。视天气状况和运输距离远近,公司与客户协商
公司优势:
1)质量:我司提供的的细胞为世界ATCC和Sciencell
2)价格:价格实惠,量大从优,产品价格随时会变动,实时报价还请来电获取。
4)服务:提供完整的售前、售后和售中服务。售后到底
如需订购HDF-f;人胎儿真皮成纤维母细胞,请联系我们。
此外公司还提供:
艾氏腹水瘤细胞 |
肺腺癌细胞 |
腹水瘤细胞 |
肝癌细胞 |
黑色素瘤细胞 |