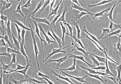
产品名称:HTMC;人小梁网细胞(原代细胞)
ScienCell:6590
5×10^5个细胞/瓶
来自ScienCell研究实验室的HTMC分离自人眼的近关节和角膜巩膜区域。HTMC在P0冷冻保存并冷冻。每个小瓶含有>5×10^5个细胞,1ml体积。HTMC的特征在于具有对α-平滑肌肌动蛋白和纤连蛋白特异性的抗体的免疫荧光。HTMC对HIV-1,HBV,HCV,支原体,细菌,酵母和真菌均为阴性。在ScienCell研究实验室的条件下,HTMC保证进一步扩大15次人口倍增。
该产品仅供研究使用。它未被批准用于人类,动物或体外诊断程序。
经检测无支原体、细菌、酵母和真菌污染
小梁网位于虹膜根部周围,并有一条通向施莱姆管的狭缝,可将水管排入静脉血管。小梁网细胞(TMC)在房水流出中起积极作用,并且该途径是眼内压依赖性的。因此,TMC的损伤或死亡与开角型青光眼的发病机制有关[1]。TMC进一步表达神经递质和神经肽的受体,并对极低浓度的各种血管活性肽和生长因子作出反应,使这些细胞能够在多个水平上调节小梁网的通透性[2]。TMC培养为研究小梁网的功能控制提供了宝贵的工具,鼓励开发更有效的治疗青光眼的策略。
鼠小脑细胞 |
猫肾细胞 |
猫肾细胞 |
中国仓鼠卵巢细胞 |
非洲绿猴非洲绿猴肾细胞 |
晅科生物为研究界提供各种高质量的正常人和动物细胞,细胞培养基和试剂,基因分析工具,细胞衍生的分子生物学产品,基于细胞的检测试剂盒和干细胞产品。
客户在细胞培养过程中,有任何技术问题可以联系售后服务
参考:
[1] (2012)“目前对青光眼常规流出功能障碍的理解。” Curr Opin Ophthalmol。23:135-43。
[2] (2003)“理解小梁网生理学:控制眼压的关键?” 新闻Physiol Sci。18:205-9。
晅科生物致力于为国内科研用户提供*质的产品,完善的服务。帮助您实验顺利。视天气状况和运输距离远近,公司与客户协商
1、从正常人、病人、小鼠、大鼠、兔、猪、牛等等组织中对原代细胞进行分离、培养、鉴定:我们将以客户要求为标准,提供多种属如正常人、病人、小鼠、大鼠、兔、猪、牛、其它动物原代细胞的分离、培养、鉴定,并提供相应的文件、资料、数据和检测证书。对于人源性细胞,必要时,在许可的条件下,我们尽可能的满足客户所提供的要求。
2、从建立实验性疾病动物(小鼠、大鼠、兔)模型体内组织中对原代细胞进行分离、培养、鉴定: 我们将以客户要求,建立标准实验性疾病动物模型,或客户提供实验性疾病动物模型,对原代细胞进行分离、培养、鉴定,并提供相应的文件、资料、数据和检测证书。
3、NK、γδT、CD3AK、DC、CIK等特定免疫细胞的分离、诱导、表型鉴定、扩增和定向改造。
客户应具有一定细胞培养知识与经验,并具备基本实验设备,如细胞培养实验室、无菌操作台、CO2培养箱,倒置显微镜等;还应准备好相应的无菌培养基、血清、双抗、细胞培养瓶、培养板等。
公司优势:
1)质量:我司提供的的细胞为世界ATCC和Sciencell
2)价格:价格实惠,量大从优,产品价格随时会变动,实时报价还请来电获取。
4)服务:提供完整的售前、售后和售中服务。售后到底
如需订购HTMC;人小梁网细胞(原代细胞),请联系我们。
此外公司还提供:
产EBV的绒猴白细胞 |
小鼠艾氏腹水瘤细胞TCM15 |
小鼠胚胎成纤维细胞 |
小鼠皮下结缔组织细胞 |
蚊子细胞 |