您的位置: 网站首页 >> 产品中心 >> >> 抗体 > 磷酸化腺苷单磷酸活化蛋白激酶α2抗体
产品名称:

磷酸化腺苷单磷酸活化蛋白激酶α2抗体

产品型号: 产品时间: 2023-03-08
该基因编码的蛋白质是AMP活化蛋白激酶(AMPK)的催化亚单位。AMPK是一种由α催化亚单位和非催化β和γ亚单位组成的异源三聚体。AMPK是一种重要的能量传感酶,可以监测细胞的能量状态。针对细胞代谢应激,AMPK被激活,从而磷酸化和灭活乙酰辅酶A羧化酶(ACC)和β-羟基β-甲基戊二酰辅酶A还原酶(HMGCR),这是参与调节脂肪酸和胆固醇从头合成的关键酶。磷酸化腺苷单磷酸活化蛋白激酶α2抗体

产品概述

英文名称:phospho-AMPK alpha-2 (Thr172)

中文名称:磷酸化腺苷单磷酸活化蛋白激酶α2抗体

抗体来源:兔

克隆类型:多克隆

交叉反应:人、老鼠、老鼠、鸡、狗、猪、牛、马、羊​

产品应用:WB=1:500-2000 ELISA=1:500-1000 IHC-P=1:400-800 IHC-F=1:400-800 Flow-Cyt=0.2μg /test IF=1:100-500  (石蜡切片需做抗原修复)  ​

尚未在其他应用程序中测试。

用户终应确定合适稀释浓度。

分子量:64kDa

细胞定位:细胞核 细胞浆

状态:冻干或液体

浓度:1mg/ml

来源于:KLH conjugated Synthesised phosphopeptide derived from human AMPK alpha 2 around the phosphorylation site of Thr172:LR(p-T)SC ​ 

亚型:IgG

纯化方法:affinity purified by Protein A

储存液:0.01M TBS(pH7.4) with 1% BSA, 0.03% Proclin300 and 50% Glycerol.

​别    名:PRKAA1(phospho T172); AMPK alpha 1 + AMPK alpha 2 (phospho T172); phospho-AMPK alpha-1 (Thr183); 5'-AMP-activated protein kinase catalytic subunit alpha-2; AAPK2_HUMAN; AAPK1_HUMAN; ACACA kinase; Acetyl-CoA carboxylase kinase; AMPK alpha 2 chain; AMPK subunit alpha-2; AMPK2; AMPK 2; AMPKa2; AMPK a2; AMPK-a2 AMPKalpha2; HMGCR kinase; Hydroxymethylglutaryl-CoA reductase kinase; PRKAA; PRKAA2; Protein kinase AMP activated alpha 2 catalytic subunit; Protein kinase AMP activated catalytic subunit alpha 2。

保存条件:在-20°C下保存一年。避免重复冻融循环。冻干抗体在室温下至少稳定一个月,并在-20°C下保持一年以上。当在无菌pH7.4 0.01M PBS或抗体稀释剂中重组时,抗体在2-4°C下至少稳定两周。

产品介绍

该基因编码的蛋白质是AMP活化蛋白激酶(AMPK)的催化亚单位。AMPK是一种由α催化亚单位和非催化β和γ亚单位组成的异源三聚体。AMPK是一种重要的能量传感酶,可以监测细胞的能量状态。针对细胞代谢应激,AMPK被激活,从而磷酸化和灭活乙酰辅酶A羧化酶(ACC)和β-羟基β-甲基戊二酰辅酶A还原酶(HMGCR),这是参与调节脂肪酸和胆固醇从头合成的关键酶。对小鼠的研究表明,这种催化亚单位可能控制全身胰岛素敏感性,并在缺血期间维持心肌能量稳态是必要的。[由RefSeq提供,2008年7月]该基因编码的蛋白质是AMP活化蛋白激酶(AMPK)的催化亚单位。AMPK是一种由α催化亚单位和非催化β和γ亚单位组成的异源三聚体。AMPK是一种重要的能量传感酶,可以监测细胞的能量状态。针对细胞代谢应激,AMPK被激活,从而磷酸化和灭活乙酰辅酶A羧化酶(ACC)和β-羟基β-甲基戊二酰辅酶A还原酶(HMGCR),这是参与调节脂肪酸和胆固醇从头合成的关键酶。对小鼠的研究表明,这种催化亚单位可能控制全身胰岛素敏感性,并在缺血期间维持心肌能量稳态是必要的。​

功能

AMP活化蛋白激酶(AMPK)的催化亚单位,是一种在调节细胞能量代谢中起关键作用的能量传感器蛋白激酶。为了响应细胞内ATP水平的降低,AMPK激活能量产生途径并抑制能量消耗过程:抑制蛋白质、碳水化合物和脂质的生物合成,以及细胞的生长和增殖。AMPK通过代谢酶的直接磷酸化作用,并通过转录调节器的磷酸化作用发挥长期作用。也可以通过重塑肌动蛋白细胞骨架来调节细胞极性,可能通过间接激活肌球蛋白。通过磷酸化和灭活脂质代谢酶(如acaca、acacb、gys1、hmgcr和lipe)调节脂质合成;通过磷酸化乙酰辅酶A羧化酶(acaca和acacb)和激素敏感脂肪酶(lipe)分别调节脂肪酸和胆固醇合成。通过磷酸化IRS1、PFKFB2和PFKFB3调节胰岛素信号传导和糖酵解。AMPK通过增加葡萄糖转运体SLC2A4/GLUT4向质膜的易位来刺激肌肉中的葡萄糖摄取,可能通过调节TBC1D4/AS160的磷酸化来实现。通过磷酸化参与能量代谢的转录调节器,如crtc2/torc2、foxo3、组蛋白h2b、hdac5、mef2c、mlxipl/chrebp、ep300、hnf4a、p53/tp53、srebf1、srebf2和ppargc1a,调节转录和染色质结构。通过磷酸化crtc2/torc2,作为肝脏葡萄糖稳态的关键调节器,导致crtc2/细胞质中的torc2隔离。在应激反应中,组蛋白h2b(h2bs36ph)的磷酸化“ser-36”,从而促进转录。通过磷酸化tsc2、rptor和atg1作为细胞生长和增殖的关键调节器:针对营养限制,通过磷酸化mtorc1复合物的rptor成分和磷酸化和激活tsc2负性调节mtorc1复合物。针对营养限制,通过磷酸化和激活ulk1促进自噬。AMPK还通过调节cry1的磷酸化来调节昼夜节律,导致其不稳定。可能通过磷酸化ctnb1来调节Wnt信号通路,从而使其稳定。同时磷酸化cftr、eef2k、klc1、nos3和slc12a1。

亚单位

AMPK是α催化亚单位(prkaa1或prkaa2)、β(prkab1或prkab2)和γ非催化亚单位(prkag1、prkag2或prkag3)的异源三聚体。与FNIP1和FNIP2相互作用。

亚细胞定位

细胞质。细胞核。注=针对压力,p53/tp53招募到特定的启动子。​

 

​​

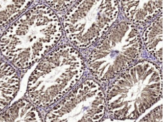
多聚甲醛固定,石蜡包埋(大鼠睾丸);用柠檬酸钠缓冲液(pH6.0)煮沸15min后获得抗原;用3%过氧化氢阻断内源过氧化物酶20分钟;阻断缓冲液(正常山羊血清)37℃30min;用未结合的磷酸化AMPKα2(THR172)多克隆抗体进行抗体孵育 1:400在4°C下过夜,然后根据SP试剂盒(兔子)说明和DAB染色进行操作。

 

重要注意事项:

本产品仅用于研究用途,不用于人类、治疗或诊断应用。

公司优势:
1)质量:我司提供的的试剂为世界
2)价格:价格实惠,量大从优。
4)服务:提供完整的售前、售后和售中服务。售后到底

如需订购磷酸化腺苷单磷酸活化蛋白激酶α2抗体​​​​,请联系我们。

Anti-Acinus (Apoptotic chromatin condensation Inducer in the nucleus)  腺泡Acinus抗体
Anti-Ack1  Ack1抗体
Anti-β-Actin  β-肌动蛋白抗体
Anti-ACTH (Adrenorticotrophin hormons 1-39)  促肾上腺皮质激素(1-39)抗体
Anti-ACTH (Adrenorticotrophin hormons 18-39)  促肾上腺皮质激素(18-39)抗体

留言框

  • 产品:

  • 您的单位:

  • 您的姓名:

  • 联系电话:

  • 常用邮箱:

  • 省份:

  • 详细地址:

  • 补充说明:

  • 验证码:

    请输入计算结果(填写阿拉伯数字),如:三加四=7
分享到:
版权所有©2019 上海晅科生物科技有限公司 备案号:京ICP证000000号
  • 扫一扫,关注我们