您的位置: 网站首页 >> 产品中心 >> >> 抗体 > 凋亡相关斑点样蛋白ASC抗体
产品名称:

凋亡相关斑点样蛋白ASC抗体

产品型号: 产品时间: 2023-03-08
凋亡相关斑点样蛋白ASC抗体这种凋亡前活性主要通过半胱天冬酶9的激活介导。可能是炎症小体的一个组成部分,这是一种蛋白质复合物,也包括NALP2、CARD8和casp1,其功能是激活促炎性caspase。组织特异性:广泛表达于低水平。在外周血白细胞、肺、小肠、脾脏、胸腺、结肠和胎盘、肝脏和肾脏的较低水平检测。骨骼肌、心脏和大脑的表达非常低。在白血病细胞株HL-60和U937中检出。

产品概述

英文名称:Anti-ASC​

中文名称:凋亡相关斑点样蛋白ASC抗体

抗体来源:兔

克隆类型:多克隆

交叉反应:人、大鼠、小鼠、狗、猪、牛、马、兔子​

产品应用:WB=1:500-2000 ELISA=1:500-1000 IHC-P=1:400-800 IHC-F=1:400-800 Flow-Cyt=1ug/test IF=1:100-500(石蜡切片需做抗原修复)  ​

尚未在其他应用程序中测试。

用户终应确定合适稀释浓度。

分子量:22kDa

细胞定位:细胞核 细胞浆

状态:冻干或液体

浓度:1mg/ml

来源于:KLH conjugated synthetic peptide derived from human TMS1/ASC:31-130/195

亚型:IgG

纯化方法:affinity purified by Protein A

储存液:0.01M TBS(pH7.4) with 1% BSA, 0.03% Proclin300 and 50% Glycerol.

​别    名:TMS1; Apoptosis associated speck like protein containing a CARD; Apoptosis-associated speck-like protein containing a CARD; ASC_HUMAN; CARD 5; CARD5; Caspase recruitment domain containing protein 5; Caspase recruitment domain protein 5; Caspase recruitment domain-containing protein 5; hASC; MGC10332; PYCARD; TMS-1; PYD and CARD domain containing; PYD and CARD domain containing protein; PYD and CARD domain-containing protein; Target of methylation induced silencing 1; Target of methylation-induced silencing 1; TMS 1. ​

保存条件:在-20°C下保存一年。避免重复冻融循环。冻干抗体在室温下至少稳定一个月,并在-20°C下保持一年以上。当在无菌pH7.4 0.01M PBS或抗体稀释剂中重组时,抗体在2-4°C下至少稳定两周。

产品介绍

促进caspase介导的凋亡。这种凋亡前活性主要通过半胱天冬酶9的激活介导。可能是炎症小体的一个组成部分,这是一种蛋白质复合物,也包括NALP2、CARD8和casp1,其功能是激活促炎性caspase。组织特异性:广泛表达于低水平。在外周血白细胞、肺、小肠、脾脏、胸腺、结肠和胎盘、肝脏和肾脏的较低水平检测。骨骼肌、心脏和大脑的表达非常低。在白血病细胞株HL-60和U937中检出,但在Jurkat T细胞淋巴瘤和Daudi Burkitt淋巴瘤中未检出。

 

功能:

促进caspase介导的凋亡。这种凋亡前活性主要通过半胱天冬酶9的激活介导。可能是炎症小体的一个组成部分,这是一种蛋白质复合物,也包括NALP2、CARD8和casp1,其功能是激活促炎性caspase。

 

Subunit:

与其他含dapin结构域的蛋白质形成复合物。与CIAS1/PYPAF1和PYDC1相互作用。

 

亚细胞位置:

细胞质。注=caspase激活上游,发生从细胞质到聚集物的再分布。它们看起来是中空的,核周球形的,球状的结构。

 

组织特异性:

广泛表达于低水平。在外周血白细胞、肺、小肠、脾脏、胸腺、结肠和胎盘、肝脏和肾脏的较低水平检测。骨骼肌、心脏和大脑的表达非常低。在白血病细胞株HL-60和U937中检出,但在Jurkat T细胞淋巴瘤和Daudi Burkitt淋巴瘤中未检出。在黑色素瘤细胞系wm35中检测到,但在wm793中没有检测到。未检出宫颈癌细胞和MolT 4淋巴细胞白血病细胞。

​本产品仅用于研究用途,不用于人类、治疗或诊断应用。​

​​​​

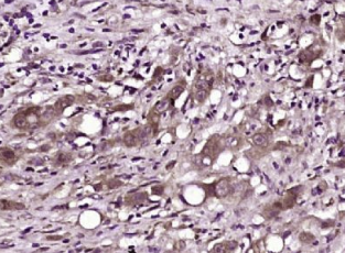
多聚甲醛固定,石蜡包埋(人胃癌);用柠檬酸钠缓冲液(pH6.0)煮沸15min后获得抗原;用3%过氧化氢阻断内源过氧化物酶20分钟;阻断缓冲液(正常山羊血清)37℃30min;抗体(AsC)多克隆抗体在1:40孵育。0在4°C下过夜,然后根据SP试剂盒(兔子)说明和DAB染色进行操作。

重要注意事项:

本产品仅用于研究用途,不用于人类、治疗或诊断应用。

公司优势:
1)质量:我司提供的的试剂为世界
2)价格:价格实惠,量大从优。
4)服务:提供完整的售前、售后和售中服务。售后到底

如需订购凋亡相关斑点样蛋白ASC抗体​,请联系我们。

Anti-CD272/BTLA(B and T lymphocyte attenuator)  B和T淋巴细胞衰减蛋白抗体
Anti-CD2AP (CD2-associated protein)  白细胞分化抗原CD2AP抗体
Anti-CD3  CD3抗体
Anti-CD3(Mouse Anti-Human CD3 Monoclonal Antibody)  鼠抗人CD3单克隆抗体
Anti-CD31(PECAM-1)  血小板内皮细胞黏附分子-1抗体
Anti-CD31(PECAM-1)  血小板内皮细胞黏附分子-1抗体
Anti-CD34  CD34抗体(细胞表面的唾液粘蛋白)
Anti-CD36  CD36抗体

留言框

  • 产品:

  • 您的单位:

  • 您的姓名:

  • 联系电话:

  • 常用邮箱:

  • 省份:

  • 详细地址:

  • 补充说明:

  • 验证码:

    请输入计算结果(填写阿拉伯数字),如:三加四=7
分享到:
版权所有©2019 上海晅科生物科技有限公司 备案号:京ICP证000000号
  • 扫一扫,关注我们