您的位置: 网站首页 >> 产品中心 >> >> 抗体 > 血管紧张素Ⅱ1A型受体抗体(Agtr1a)
产品名称:

血管紧张素Ⅱ1A型受体抗体(Agtr1a)

产品型号: 产品时间: 2023-03-08
血管紧张素Ⅱ1A型受体抗体(Agtr1a)是血管紧张素II的主要效应器,是血压和液体稳态的关键调节器。参与多种心血管疾病的发病机制如高血压、心脏肥大和充血心力衰竭。血管紧张素II与两种G蛋白偶联膜受体AT1(1型)和(2型)相互作用。AT1在啮齿类动物中有三种亚型:AT1a(359 aa)、AT1b(359 aa)和AT1c(177 aa)。大鼠AT1含有七个跨膜结构域。N端为胞外C端为胞质。

产品概述

英文名称:Anti-Angiotensin II type 1A receptor​

中文名称:血管紧张素Ⅱ1A型受体抗体(Agtr1a)

抗体来源:兔

克隆类型:多克隆

交叉反应:人、大鼠、小鼠

产品应用:WB=1:500-2000 ELISA=1:500-1000 IHC-P=1:400-800 IHC-F=1:400-800 Flow-Cyt=3ug/Test ICC=1:100-500 IF=1:100-500(石蜡切片需做抗原修复)  ​

尚未在其他应用程序中测试。

用户终应确定合适稀释浓度。

分子量:41kDa

细胞定位:细胞膜

状态:冻干或液体

浓度:1mg/ml

来源于:KLH conjugated synthetic peptide derived from the middle of human Angiotensin II type 1A receptor:101-200/359 <Extracellular>

亚型:IgG

纯化方法:affinity purified by Protein A

储存液:0.01M TBS(pH7.4) with 1% BSA, 0.03% Proclin300 and 50% Glycerol.

​别    名:AGTR1; Agtr1a; AT1; AT1A; AT1AR; Type 1 angiotensin II receptor; AGTR1_HUMAN; AGTR1B; AT2R1; AT2R1B.

保存条件:在-20°C下保存一年。避免重复冻融循环。冻干抗体在室温下至少稳定一个月,并在-20°C下保持一年以上。当在无菌pH7.4 0.01M PBS或抗体稀释剂中重组时,抗体在2-4°C下至少稳定两周。

产品介绍

血管紧张素II 1型受体(AT1)是血管紧张素II的主要效应器,是血压和液体稳态的关键调节器。参与多种心血管疾病的发病机制,如高血压、心脏肥大和充血性心力衰竭。血管紧张素II与两种G蛋白偶联膜受体AT1(1型)和AT2(2型)相互作用。AT1在啮齿类动物中有三种亚型:AT1a(359 aa)、AT1b(359 aa)和AT1c(177 aa)。大鼠AT1含有七个跨膜结构域。N端为胞外,C端为胞质。AT1在肝脏、肾脏、主动脉、肺、子宫、卵巢、脾脏、心脏、肾上腺和血管平滑肌中表达。

 

功能:

血管紧张素II受体。通过与激活磷脂酰肌醇钙第二信使系统的G蛋白结合来介导其作用。

 

Subunit:

与MAS1相互作用(可能)。与ARRB1相互作用。

 

亚细胞位置:

细胞膜;多道膜蛋白。

 

组织特异性:

肝、肺、肾上腺和肾上腺皮质腺瘤。

 

翻译后修改:

c-末端ser或thr残基可以被磷酸化。

 

疾病:

肾小管发育不全(RTD)【MIM:267430】:常染色体隐性肾小管发育严重障碍,以持续性胎儿无尿和围产期死亡为特征,可能是由于早期发病的羊水过少(波特表型)引起的肺发育不全所致。注=该疾病是由影响本条所述基因的突变引起的。

 

相似性:

属于G蛋白偶联受体1家族。

​本产品仅用于研究用途,不用于人类、治疗或诊断应用。​

​​​​​​​

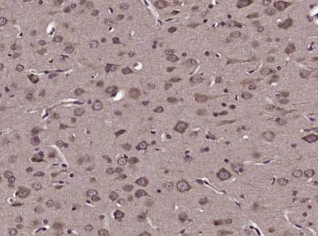
多聚甲醛固定,石蜡包埋(大鼠脑);经柠檬酸钠缓冲液(pH6.0)煮沸15min后获得抗原;用3%过氧化氢阻断内源过氧化物酶20分钟;阻断缓冲液(正常山羊血清)37℃30min;用(Angiotensin II型1A受体)多克隆抗体(未结合)进行抗体孵育。)在1:400在4°C下过夜,然后根据SP试剂盒(兔子)说明和DAB染色进行操作。

重要注意事项:

本产品仅用于研究用途,不用于人类、治疗或诊断应用。

公司优势:
1)质量:我司提供的的试剂为世界
2)价格:价格实惠,量大从优。
4)服务:提供完整的售前、售后和售中服务。售后到底

如需订购血管紧张素Ⅱ1A型受体抗体(Agtr1a)​​​​,请联系我们。

anti-Clostridium perfringens type D  兔抗D型产气荚膜梭菌抗体
Anti-C-Mer/MERTK (proto-oncogene tyrosine kinase)  c-mer原癌基因酪氨酸激酶抗体
Anti-C-Met/HGFR(Hepatocyte growth factor receptor)  肝细胞生长因子受体(原癌基因蛋白)抗体
Anti-C-Myc/MYC/MTLC  致癌基因抗体
anti-c-Myc tag  c-Myc tag标签抗体
Anti-CNP/CNPase ( 2',3'-cyclic-nucleotide 3'-phosphodiesterase)  C型钠尿肽抗体
anti-CNTF(Ciliary Neurotrophic Factor)  睫状神经营养因子抗体
Anti-Collagen Ⅱ(Anti-Collagen Type Ⅱ)  抗Ⅱ型胶原抗体(Collagen Ⅱ Ⅱ型胶原)

留言框

  • 产品:

  • 您的单位:

  • 您的姓名:

  • 联系电话:

  • 常用邮箱:

  • 省份:

  • 详细地址:

  • 补充说明:

  • 验证码:

    请输入计算结果(填写阿拉伯数字),如:三加四=7
分享到:
版权所有©2019 上海晅科生物科技有限公司 备案号:京ICP证000000号
  • 扫一扫,关注我们