您的位置: 网站首页 >> 产品中心 >> >> 抗体 > 腺苷A2b受体/神经生长因子1受体抗体
产品名称:

腺苷A2b受体/神经生长因子1受体抗体

产品型号: 产品时间: 2023-03-08
腺苷A2b受体/神经生长因子1受体抗体这个基因编码一个腺苷受体,它是G蛋白偶联受体超家族的成员。这种完整的膜蛋白在腺苷存在下刺激腺苷酸环化酶的活性。这种蛋白也与参与轴突伸长的netrin-1相互作用。该基因位于17号染色体Smith-Magenis综合征区域附近。

产品概述

英文名称:Anti-ADORA2B​​

中文名称:腺苷A2b受体/神经生长因子1受体抗体

抗体来源:兔

克隆类型:多克隆

交叉反应:人、大鼠、小鼠、狗,兔子,几内亚猪​

产品应用:WB=1:500-2000 IHC-P=1:400-800 IHC-F=1:400-800 Flow-Cyt=3ug/test ICC=1:100-500 IF=1:100-500(石蜡切片需做抗原修复)  ​

尚未在其他应用程序中测试。

用户终应确定合适稀释浓度。

分子量:37kDa

细胞定位:细胞膜

状态:冻干或液体

浓度:1mg/ml

来源于:KLH conjugated synthetic peptide derived from human ADORA2B:101-200/332 <Extracellular>

亚型:IgG

纯化方法:affinity purified by Protein A

储存液:0.01M TBS(pH7.4) with 1% BSA, 0.03% Proclin300 and 50% Glycerol.

​别    名:Adenosine A2b Receptor; adora 2; adora 2b; ADORA2; ADORA2B; HGNC:264; Netrin 1 receptor; AA2BR_HUMAN.

保存条件:在-20°C下保存一年。避免重复冻融循环。冻干抗体在室温下至少稳定一个月,并在-20°C下保持一年以上。当在无菌pH7.4 0.01M PBS或抗体稀释剂中重组时,抗体在2-4°C下至少稳定两周。

产品介绍

这个基因编码一个腺苷受体,它是G蛋白偶联受体超家族的成员。这种完整的膜蛋白在腺苷存在下刺激腺苷酸环化酶的活性。这种蛋白也与参与轴突伸长的netrin-1相互作用。该基因位于17号染色体Smith-Magenis综合征区域附近。[由RefSeq提供,2008年7月]。

 

功能:

腺苷受体。这种受体的活性由激活腺苷酸环化酶的G蛋白介导。

 

亚细胞位置:

细胞膜;多道膜蛋白。

 

相似性:

属于G蛋白偶联受体1家族。

​本产品仅用于研究用途,不用于人类、治疗或诊断应用。​

​​​​​​​​​​​

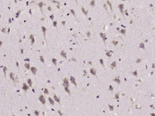
多聚甲醛固定,石蜡包埋(大鼠脑);用柠檬酸钠缓冲液(pH6.0)煮沸15min;用3%过氧化氢阻断内源过氧化物酶20分钟;阻断缓冲液(正常山羊血清)37℃30min;抗体(AdoA2B)多克隆抗体1:400过量孵育。在4°C温度下,按照SP试剂盒(兔子)说明和DAB染色进行操作。

重要注意事项:

本产品仅用于研究用途,不用于人类、治疗或诊断应用。

公司优势:
1)质量:我司提供的的试剂为世界
2)价格:价格实惠,量大从优。
4)服务:提供完整的售前、售后和售中服务。售后到底

如需订购腺苷A2b受体/神经生长因子1受体抗体​​,请联系我们。

Anti-Cyclin H  周期素H抗体
Anti-Cygb (cytoglobin)  细胞球蛋白抗体
Anti-CYP450(Cytochrome P450 monooxygenase)  细胞色素P450单氧化酶抗体
anti-Cyr61(cysteine rich 61)  富半胱氨酸肝素结合蛋白61
anti-CYP19  细胞色素P450 19抗体
Anti-Cytochrome C(Cyt C)  细胞色素 C抗体
Anti-Cytokeratin(CT)  细胞角蛋白抗体(C端)
Anti-anti-HCMV PP65/HHV5 PP65(Human Cytomegalovirus PP65 )   人巨细胞病毒PP65/CMV低基质磷脂蛋白抗体
anti-HCMV UL49(Human Cytomegalovirus UL49 Gene)   人巨细胞病毒UL49抗体

留言框

  • 产品:

  • 您的单位:

  • 您的姓名:

  • 联系电话:

  • 常用邮箱:

  • 省份:

  • 详细地址:

  • 补充说明:

  • 验证码:

    请输入计算结果(填写阿拉伯数字),如:三加四=7
分享到:
版权所有©2019 上海晅科生物科技有限公司 备案号:京ICP证000000号
  • 扫一扫,关注我们