您的位置: 网站首页 >> 产品中心 >> >> 抗体 > 胎儿阿兹海默病抗原/核小体重塑因子抗体
产品名称:

胎儿阿兹海默病抗原/核小体重塑因子抗体

产品型号: 产品时间: 2023-03-08
胎儿阿兹海默病抗原/核小体重塑因子抗体该基因通过编码蛋白对一种单克隆抗体的反应性来鉴定,这种单克隆抗体是针对阿尔茨海默病患者的脑匀浆制备的。对含有DNA结合域和锌指基序的810 a a蛋白(胎儿ALZ-50反应性克隆1,或fac1)的分析表明,它可能在转录调节中起到作用。在胎儿大脑和神经退行性疾病患者中检测到高水平的fac1。

产品概述

英文名称:Anti-BPTF​

中文名称:胎儿阿兹海默病抗原/核小体重塑因子抗体

抗体来源:兔子

克隆类型:多克隆

交叉反应:人、小鼠、大鼠、鸡、狗、牛、兔、羊、豚鼠​​

产品应用:ELISA=1:500-1000 IHC-P=1:100-500 IHC-F=1:100-500 ICC=1:100-500 IF=1:100-500(石蜡切片需做抗原修复)

分  子 量:338kDa

​细胞定位:细胞核 细胞浆

状态:冻干或液体

浓度:1mg/ml

来源于:KLH conjugated synthetic peptide derived from human BPTF/FALZ:2801-3046/3046

亚型:IgG

纯化方法:affinity purified by Protein A

储存液:0.01M TBS(pH7.4) with 1% BSA, 0.03% Proclin300 and 50% Glycerol.

别    名:Bromodomain and PHD finger containing transcription factor; Bromodomain PHD finger transcription factor; FAC 1; BPTF / FALZ; fac1; FALZ; Fetal Alz 50 clone 1 protein; Fetal Alz 50 reactive clone 1; Fetal Alzheimer antigen; Nucleosome remodeling factor; Nucleosome remodeling factor subunit BPTF; Nucleosome remodeling factor, large subunit; NURF 301; NURF301.

保存条件:在-20°C下保存一年。避免反复冻融。冻干抗体在室温下至少稳定一个月,并在-20°C下保持一年以上。当在无菌pH7.4 0.01M PBS或抗体稀释剂中重组时,抗体在2-4°C下至少稳定两周。

 

​产品介绍:

该基因通过编码蛋白对一种单克隆抗体的反应性来鉴定,这种单克隆抗体是针对阿尔茨海默病患者的脑匀浆制备的。对含有DNA结合域和锌指基序的810 a a蛋白(胎儿ALZ-50反应性克隆1,或fac1)的分析表明,它可能在转录调节中起到作用。在胎儿大脑和神经退行性疾病患者中检测到高水平的fac1。这个基因编码的蛋白质实际上比原先想象的要大得多,而且它还含有一个C端溴域,这是蛋白质在增殖过程中调节转录的特征。编码蛋白与果蝇核小体重塑因子复合物的大亚单位高度相似。在果蝇中,nurf复合物催化核小体在DNA上滑动并与序列特异性转录因子相互作用,对于转录所需的染色质重塑是必要的。两种编码不同亚型的选择性转录本已被*描述。[参考文献编号:2008年7月]

 

功能:

nurf(核小体重塑因子)的组蛋白结合成分,一种催化ATP依赖性核小体滑动并促进染色质转录的复合物。特别是在“lys-4”(h3k4me3)上识别*基化的h3尾,这标记了几乎所有活性基因的转录起始位点。也可以通过与DNA或转录因子直接结合来调节转录。

 

子单元:

与MAZ相互作用。与KEAP1交互。核小体重塑因子(nurf)复合体的一部分,由smarca1、bptf、rbbp4和rbbp7组成。与组蛋白H3K4me3相互作用,与组蛋白H3-K4me2的作用较小。

 

亚细胞位置:

细胞质。原子核。注=在阿尔茨海默病患者的大脑中,出现在含有淀粉样蛋白的斑块的一个子集中。

 

组织特异性:

广泛表达,睾丸中。存在于肾脏、肝脏和大脑中。在大脑中,运动皮层的(在蛋白质水平)。

 

翻译后修改:

磷酸化增强DNA结合。磷酸化的DNA损伤,可能由ATM或ATR。

极易发生蛋白水解。

 

相似性:

属于PBTF家族。

包含1个溴域。

包含1个DDT域。

包含2个博士型锌指。

 

重要提示:

本产品仅用于研究用途,不用于人类、治疗或诊断应用

​​​

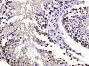
多聚甲醛固定,石蜡包埋(小鼠睾丸);经柠檬酸钠缓冲液(pH6.0)煮沸15min后获得抗原;用3%过氧化氢阻断内源性过氧化物酶20分钟;阻断缓冲液(正常山羊血清)37℃30min;用(BPTF)多克隆抗体进行抗体孵育在4°C下1:200整晚未结合的全身,然后根据SP试剂盒(兔子)说明和DAB染色进行操作。

公司优势:
1)质量:我司提供的的试剂为世界。
2)价格:价格实惠,量大从优。
4)服务:提供完整的售前、售后和售中服务。售后到底。

如需订购胎儿阿兹海默病抗原/核小体重塑因子抗体​​​​​​​,请联系我们。

Anti-CD272/BTLA(B and T lymphocyte attenuator)  B和T淋巴细胞衰减蛋白抗体
Anti-CD2AP (CD2-associated protein)  白细胞分化抗原CD2AP抗体
Anti-CD3  CD3抗体
Anti-CD3(Mouse Anti-Human CD3 Monoclonal Antibody)  鼠抗人CD3单克隆抗体
Anti-CD31(PECAM-1)  血小板内皮细胞黏附分子-1抗体
Anti-CD31(PECAM-1)  血小板内皮细胞黏附分子-1抗体
Anti-CD34  CD34抗体(细胞表面的唾液粘蛋白)

留言框

  • 产品:

  • 您的单位:

  • 您的姓名:

  • 联系电话:

  • 常用邮箱:

  • 省份:

  • 详细地址:

  • 补充说明:

  • 验证码:

    请输入计算结果(填写阿拉伯数字),如:三加四=7
分享到:
版权所有©2019 上海晅科生物科技有限公司 备案号:京ICP证000000号
  • 扫一扫,关注我们