英文名称:Anti-BDKRB2
中文名称:缓激肽B2受体抗体(BDKRB2)
抗体来源:兔子
克隆类型:多克隆
交叉反应:人、小鼠、大鼠
产品应用:ELISA=1:500-1000 IHC-P=1:100-500 IHC-F=1:100-500 ICC=1:100-500 IF=1:100-500(石蜡切片需做抗原修复)
分 子 量:43kDa
细胞定位:细胞膜
状态:冻干或液体
浓度:1mg/ml
来源于:KLH conjugated synthetic peptide derived from human Bdkrb2:51-150/391 <Extracellular>
亚型:IgG
纯化方法:affinity purified by Protein A
储存液:0.01M TBS(pH7.4) with 1% BSA, 0.03% Proclin300 and 50% Glycerol.
别 名:B2; B2 bradykinin receptor; B2BKR; B2BRA; B2R; BDKR B2; BDKRB 2; Bdkrb2; BK 2; BK 2 receptor; BK R2; BK2; BK2 receptor; BK2R; BKR 2; BKR2; BR B2; Bradykinin receptor b2; Bradykinin receptor beta 2; BRB 2; BRB2; DKFZp686O088; Kinin B2 Bradykinin receptor beta 2; B2R.
保存条件:在-20°C下保存一年。避免反复冻融。冻干抗体在室温下至少稳定一个月,并在-20°C下保持一年以上。当在无菌pH7.4 0.01M PBS或抗体稀释剂中重组时,抗体在2-4°C下至少稳定两周。
产品介绍:
缓激肽增加血管通透性,扩张血管,收缩非血管平滑肌,并引起疼痛。本品检测缓激肽受体。该受体与激活磷脂酰肌醇钙第二信使系统的G蛋白有关。
缓激肽B2受体在血液、大脑、眼睛、肾脏、肝脏、肺、前列腺、皮肤、小肠、滑膜、子宫和血管中有表达。EST已从结肠、结缔组织、心脏、心脏/黑素细胞/子宫、肾脏、肺、胎盘和甲状腺库中分离出来。
功能:
缓激肽受体。与激活磷脂酰肌醇钙第二信使系统的G蛋白有关。
子单元:
与pecam1和gnaq形成复合体。与pecam1交互。
亚细胞位置:
细胞膜;多道膜蛋白。
组织特异性:
无处不在的。广泛分布于正常的平滑肌组织和神经元。
相似性:
属于G蛋白偶联受体1家族。缓激肽受体亚家族。BDKRB2亚家族。
重要提示:
本产品仅用于研究用途,不用于人类、治疗或诊断应用
缓激肽B2受体目前主要在糖尿病肾病的发生、发展中起着重要作用。
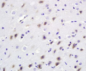
组织/细胞:大鼠脑组织;4%多聚甲醛固定石蜡包埋;
抗原提取:柠檬酸缓冲液(0.01M,pH 6),15min煮沸,用3%过氧化氢阻断内源性过氧化物酶30min;37℃下阻断缓冲液(正常山羊血清)20 min;
孵育:抗bdkrb2/b2r多克隆抗体,未结合1:200,在4°C下过夜,然后与二级抗体结合,DAB染色。
公司优势:
1)质量:我司提供的的试剂为世界。
2)价格:价格实惠,量大从优。
4)服务:提供完整的售前、售后和售中服务。售后到底。
如需订购缓激肽B2受体抗体(BDKRB2),请联系我们。
Anti-MSLN (mesothelin) 间皮素抗体 |
anti-MUC5AC/Mucin 5AC(Gastric Mucin M1) 胃粘液素抗体 |
Anti-MTR-1A (Melatonin receptor-1A) 褪黑素受体/松果体素受体抗体 |
Anti-mucin-1/Muc-1/CD227 antigen (Epithelial Membrane Antigen ) 粘蛋白-1/上皮膜抗原抗体 |